門真市の歯医者なら須沢歯科・矯正歯科須沢歯科・矯正歯科へ。

歯並びだけではなくかみ合わせにも向き合った矯正治療 インプラントと矯正同時に可能 透明マウスピース簡単に取り外し可能 「早く終わる」 ではなく「長くもつ」矯正 *

こんなはありませんか?

周りに気づかれずに矯正したい… 矯正してもすぐに戻らないか不安… 矯正は費用が高いと聞いたけど… 実績のある歯医者で矯正したい *

歯並びが悪いけど、「口元を隠せばいいや」と思っていませんか? *

歯並びの不正をそのままにしておくと、口元に限らず、日常生
活や身体の健康にも悪影響を及ぼす可能性があります。

*

人の目が気になる

歯並びが悪いと、人の視線が気になりやすく、コンプレックスを抱く原因になります。ストレスが蓄積し、コミュニケーションに悪影響を及ぼすこともあります。

*

虫歯や歯周病の
リスクが高まる

歯並びが悪いとまんべんなく歯磨きができず、細菌がたまりやすく繁殖しやすい口腔環境になってしまいます。

*

十分に咀嚼ができない

噛み切れなかったり、うまく噛めずに食べ物を飲み込んでしまう場合があります。そのため消化器官に負担をかけている可能性もあります。

*

発音がうまくできない

歯列が正しく並んでいないことで、滑舌が悪くなったり、歯の隙間から息が漏れがちになったりします。発音が不明瞭になっていく可能性もあります。

*
矯正無料相談・WEB予約(24時間受付中)

※矯正無料相談は「ご相談(カウンセリング)」が対象です。必要に応じてレントゲン撮影・口腔内検査等を実施する場合、保険診療として自己負担が発生します。

須沢歯科が行う
矯正治療のメリット

*
*

歯並びだけではなく噛み合わせ
にも向き合った治療

見た目の美しさだけでなく、「噛める」ことを重視した矯正治療を提供しています。当院では、矯正治療に加えて咬合診断を丁寧に行い、将来的にトラブルの起きにくい口腔環境を目指しています。

*

専門医による矯正治療

2年連続(2024・2025)インビザラインのブラックダイヤモンド認定医であり、1,000症例以上の実績を持つ歯科医師・山本が治療計画を担当。精密なシミュレーションと経験に裏打ちされた診断を行っています。

*

「早く終わる」のではなく
「長くもつ」矯正

短期間で見た目が整っても、数年後に戻ってしまっては意味がありません。当院では、後戻りを防ぎ、土台である顎や噛み合わせも含めた全体設計で、「長くもつ」矯正治療を目指します。

*

インプラントと矯正治療
同時に可能

矯正専門医とインプラント担当医が連携して治療を行うため、歯がない部分へのインプラント治療と矯正治療を同時に進めることが可能です。治療期間を短縮でき、機能性・審美性の両方をバランスよく整える治療が受けられます。

1000

以上の症例実績

須沢歯科ではインビザライン講師である山本が治療計画を立て、
院長の平山が治療を行います。 1000以上の症例を経験した医師による治療計画で、
それぞれの患者様に適した治療を行います。

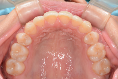
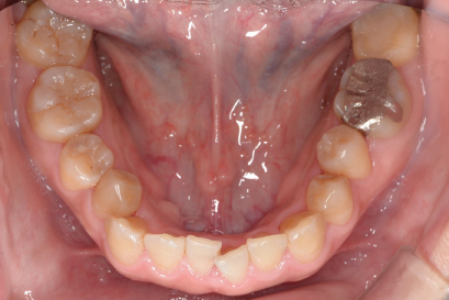
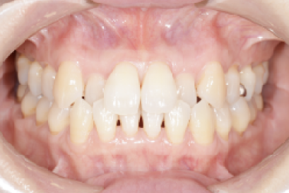
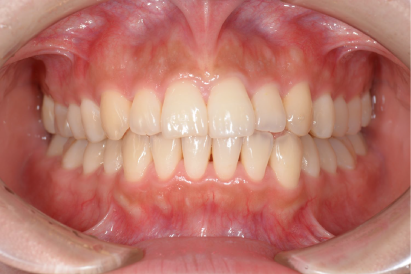
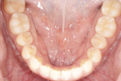
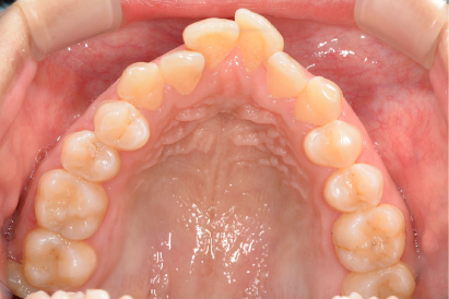
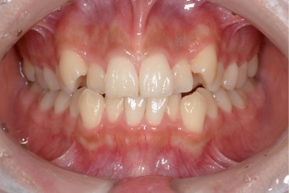
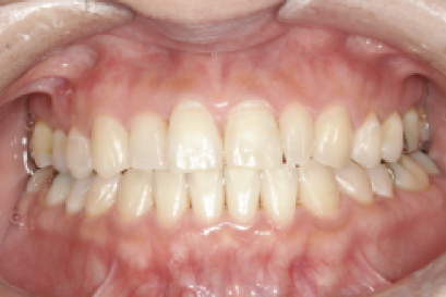
症例紹介

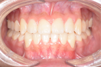
  • 症例1

    術前

    *
    *

    術後

    *
    年代、性別
    30代、女性
    職業
    会社役員
    主訴
    奥歯の詰め物が頻繫に取れる
    部位
    インビザラインによる全顎矯正と上下顎奥歯8本のセラミック治療
    治療期間
    1年6ヶ月
    矯正費用
    95万円
    施術説明
    患者は10年ほど前に矯正治療の既往がありました。歯並び自体は綺麗になったものの、矯正後に奥歯の詰め物が頻繁に外れて虫歯になり、総合的な治療を希望して来院されました。診察の結果、矯正治療をしているにも関わらず、前歯が噛んでいないので奥歯に過剰な咬合負荷がかかっていることがわかりました。そのため、前歯を咬合させ、奥歯が干渉しないように再度の矯正と奥歯の修復治療が必要と判断しました。治療後には、審美的にも機能的にも満足して頂き、問題なく生活できるようになりました。このような治療は矯正専門医でなくては不可能です。歯のトラブルと歯並びが複合する問題は、複数の専門医が所属する医院を受診して下さい。
    副作用・リスク
    なし
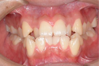
  • 症例2

    術前

    *
    *

    術後

    *
    年代、性別
    10代、女性
    職業
    学生
    主訴
    歯並び相談
    部位
    インビザラインによる全顎矯正
    治療期間
    6ヶ月
    矯正費用
    95万円
    施術説明
    インビザラインによる全顎矯正。成人式まで期間がない中、綺麗な写真で成人式を祝いたいという事でお母様と来院されました。見た目への支障で悩んでいましたが、検査の結果アライナー矯正が可能と判断し半年で矯正を完了できました。成人式の記念撮影にも間に合い、非常に喜んで頂けました。
    副作用・リスク
    なし
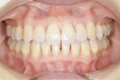
  • 症例3

    術前

    *
    *

    術後

    *
    年代、性別
    10代、女性
    職業
    学生
    主訴
    歯並び相談
    部位
    抜歯を併用してのインビザラインによる全顎矯正
    治療期間
    2年
    矯正費用
    95万円
    施術説明
    前歯が突出感と、下歯がガチャガチャしていることを改善したいということでした。マウスピース矯正は抜歯を伴う矯正は難しいという意見もありますが、適切に診査・診断を行い対応すれば問題ありません。本症例では、上下2本ずつ合計4本の抜歯を行い、スペースを作ることで、上記の問題を矯正で改善しました。非常に綺麗な歯並びになり、非常に喜んでもらえました。
    副作用・リスク
    なし
  • 症例4

    術前

    *
    *

    術後

    *
    年代、性別
    20代、男性
    職業
    学生
    主訴
    歯並び相談
    部位
    抜歯を併用してのインビザラインによる全顎矯正
    治療期間
    1年6ヶ月
    矯正費用
    95万円
    施術説明
    他院の矯正専門医院でマウスピース矯正は不可能と言われて、セカンドオピニオンで来院されました。就職活動が始まるまでに、歯並びを治療しておきたいということでしたが、当院の矯正専門医であるインビザライン・ファカルティーの山本先生による検査では、インビザラインで治療が可能と診断されました。抜歯を伴う矯正は通常長期にわたる事が多いですが、1年半で治療も完了し非常に喜んでもらえました。
    副作用・リスク
    なし
  • 症例5

    術前

    *
    *

    術後

    *
    年代、性別
    20代、女性
    職業
    会社員
    主訴
    歯並び相談と奥歯の治療
    部位
    インビザラインによる全顎矯正と下顎奥歯1本のセラミック治療
    治療期間
    1年6ヶ月
    矯正費用
    95万円
    施術説明
    左下奥歯の治療と歯並び相談で来院され、奥歯にはギリギリした時に大きく干渉がかかっていました。前歯の歯並びの不調和は奥歯の歯の生存に大きく関与しており、本症例も矯正治療が有効でしたので、奥歯の治療とともに前歯の噛み合わせを改善し、患者さんにも非常に満足してもらえました。
    副作用・リスク
    なし
  • 症例6

    術前

    *
    *

    術後

    *
    年代、性別
    40代、女性
    職業
    会社員
    主訴
    歯並び相談
    部位
    インビザラインによる部分矯正
    治療期間
    6ヶ月
    矯正費用
    45万円
    施術説明
    矯正治療を長年希望していましたが、費用的に躊躇していたそうですが、審査の結果インビザラインの部分矯正で起用を抑えて対応できると判断しました。半年の治療期間で希望通りの結果を出す事ができ喜んで頂きました。
    副作用・リスク
    なし
  • 症例7

    術前

    *
    *

    術後

    *
    年代、性別
    50代、女性
    職業
    会社員
    主訴
    歯並び相談
    部位
    インビザラインによる全顎矯正
    治療期間
    1年
    矯正費用
    95万円
    施術説明
    インビザラインによる全顎矯正。患者は長年歯並びを気にしていたが、見た目や仕事への支障を含めて矯正治療を躊躇していた。検査の結果アライナー矯正が可能と判断し施術を行ない、1年で完了した。
    副作用・リスク
    なし
  • 症例8

    術前

    *
    *

    術後

    *
    年代、性別
    7歳、女性
    職業
    小学生
    主訴
    歯並び相談
    部位
    インビザライン・ファーストによる矯正
    治療期間
    1年6ヶ月
    矯正費用
    45万円
    施術説明
    大人の歯が生えるスペースが不足していて、永久歯が綺麗に並ぶのが難しい状況になっていました。このような場合でも、早期に気付けば、成長が止まるまでは骨格を広げる事が可能です。結果的に本症例でも小児矯正のみで対応する事が可能となり、保護者の方にも喜んで頂けました。
    副作用・リスク
    なし

インビザライン
マウスピース矯正の特徴

*

01 多くの方に選ばれている治療

須沢歯科では、世界各国、1700万人を超える人々に選ばれているインビザラインのマウスピースを採用しています。

*

02 ワイヤー矯正よりも
痛みが少ない

マウスピース矯正は一定期間ごとに新しいマウスピースと交換し、徐々に歯を矯正していく治療です。
そのため、ワイヤー矯正のような痛みを感じることはありません。

*

03 治療中も今まで通りの生活

インビザラインのマウスピース矯正はご自身で着脱可能なので、食事や歯磨きなど普段の生活と同じように行うことが可能です。

* *
矯正無料相談・WEB予約(24時間受付中)

※矯正無料相談は「ご相談(カウンセリング)」が対象です。必要に応じてレントゲン撮影・口腔内検査等を実施する場合、保険診療として自己負担が発生します。

インビザライン
治療の流れ

*

CONTACT

お問い合わせ・初診相談

まずはごお電話、またはお問い合わせフォームから来院のご予約をいただき、歯並びや噛み合わせの状態を確認します。適切な治療方法をご提案いたします。治療の流れや費用についても詳しくご説明します。

*

INSPECITION

検査・診断

写真撮影、レントゲン撮影などで詳しい検査を行います。現在の歯並びの状態を考慮し、あなたに合ったマウスピースを作成します。

*

START

治療開始

作成したマウスピースを毎日着用いていただき、1週間ごとに新しいマウスピースと交換しながら治療を進めていきます。

*

COMPLETED

治療完了

治療期間は、歯並びの状態や難易度によって個人差があります。
部分修正の場合は約5か月ほどで治療が終了します。

当院がインビザラインで
選ばれる理由

*

01 様々な症例に幅広く対応

前歯の部分的な矯正に加え、噛み合わせや歯の傾きなど多様な症例に対応しております。患者様それぞれに最適な治療プランを提案いたします。

*

02 丁寧なカウンセリング

患者様が安心して治療を開始できるよう、十分なカウンセリングの時間を設けています。疑問や不安を解消しつつ、理想的な歯並びを実現するためのプランを策定します。

*

03 総合的な歯科治療にも対応

矯正治療に加え、虫歯や歯周病の治療、クリーニングなどのケアも院内で行うことができます。矯正中に発生する口腔のトラブルにも迅速に対応できる点が当院の特長です。

*

04 インビザラインの
認定医師が治療

専門的な知識を有するインビザライン認定の歯科医師が診療を行い、患者様の歯の状態を丁寧に評価します。治療過程においても細やかなサポートを行い、安全かつ確実な矯正治療を実現します。

*

05 インビザライン講師が
利用計画立案

1000以上の症例実績を持つインビザライン講師が治療計画を立案し、院長が治療を行うので安心してお任せいただけます。

*

06 理想的な口元を実現

矯正治療後の外観にも配慮し、ホワイトニングや審美歯科の選択肢を取り揃えています。機能性だけでなく、美しい見た目にも重点を置き、理想的な口元を実現します。

* *
矯正無料相談・WEB予約(24時間受付中)

※矯正無料相談は「ご相談(カウンセリング)」が対象です。必要に応じてレントゲン撮影・口腔内検査等を実施する場合、保険診療として自己負担が発生します。

院長挨拶

院長挨拶

*
*

須沢歯科 院長

平山 富興

HIRAYAMA TOMITAKA

院長挨拶

約50年間地域医療に尽力してきた義父の引退に伴い、須沢歯科の理念と地域医療への思いを引き継ぐこととなりました。私はこれまで15年以上の臨床経験を積み、専門医としてインプラントと歯周病に特化した多くの症例を扱ってきました。

しかし、この地域には専門的な歯科医院が存在しなかったため、今後はインプラント・歯周病専門医として京阪電車沿線の患者様に貢献したいと考えています。幅広い年齢層の患者様が最良の治療を受けられるよう、設備の充実を図っています。近い将来、「歯のことは須沢歯科医院に任せよう」、「須沢歯科医院に行けば安心」と地域の皆様に信頼される医院を目指しています。

治療が終わった後も、生涯にわたってお付き合いできる歯科医院を目指してまいります。
*
* *

インビザライン講師

山本 昌宏 (スマイルプラス矯正歯科院長/
 日本矯正歯科学会 矯正認定医)

はじめまして、スマイルプラス矯正歯科院長、 山本昌宏です。

歯並びが悪いのは病気ではありません。 歯並びが悪いことによって、生命の危険・寿命が縮まるようなことはなく、矯正治療は生活の質を高める治療であると思っています。だからこそ、矯正治療のための通院には、苦痛を伴うことなく、楽しいものでなければならないということを念頭に患者さんの治療にあたらせていただいてます。

矯正治療では、患者さんとは年単位のお付き合いとなります。患者さんのお悩みを親身に聞き、 それぞれに適した解決策を示し、励まし、患者さんご自身の努力のサポートをできる存在になりたいと思っております。 今後とも患者さんのために誠心誠意の医療を心がけてまいりますので、宜しくお願い致します。

日本矯正歯科学会 矯正認定医について

公益社団法人 日本矯正歯科学会は、歯科矯正学・矯正歯科臨床の進歩・発展を目的とした学会で、2022年時点での学会会員数7,000名、そのうち臨床指導医(旧称:専門医)は全国に381名のみとなっています。この資格を有する事は、矯正治療の専門的な知識を有し、矯正の臨床経験が豊富である事の証左となります。

費用について

インビザライン

治療費 ¥1,045,000 −
最大分割回数:84回 (7年払い)
月々 約¥12,450〜

部分矯正(インビザライン・ライト)

治療費 ¥450,000 −
最大分割回数:84回 (7年払い)
月々 約¥5,358〜

よくあるご質問

Q
どんな歯並びでも治るの?
A
前歯の歯並びが気になるケースであれば、ほとんどの場合で治療が可能です。専門的な外科手術が必要となる場合や、奥歯の噛み合わせに大きなズレがあるケース、重度の歯周病がある状態などはインビザライン・インビザラインGoの適応から外れることがありますが、前歯の歯列不正が主な原因の場合は適応範囲内であることが多いです。当院でも「マウスピース矯正の相談」をご希望される方の多くが、インビザライン・インビザラインGoで矯正を進められるという結果が出ています。まずは検査と診断を行い、現在のお口の状況を正確に把握することが大切です。
Q
目立たないの?
A
まったく“見えなくなる”わけではありませんが、非常に薄くて透明度が高いマウスピースのため、人と話す際や写真撮影の際に「矯正装置を着けている」と気づかれることはほとんどありません。ワイヤー矯正のように金属のブラケットが表面に見えることもないため、見た目のストレスは最小限で済みます。
Q
どれくらいの期間がかかるの?
A
歯並びや患者さまの年齢、歯の動きやすさによって異なりますが、インビザラインGoの場合は半年から1年ほどの期間を目安とすることが多いです。前歯の重なり具合や顎の骨の状態、さらに装着時間がきちんと守られているかなどによって、治療期間には個人差が出ることがあります。
Q
痛くないの?
A
マウスピースを新しいものに交換した直後は、歯が動くことに伴う圧迫感や軽い痛みを感じる場合があります。ただしワイヤー矯正のように金属部分が頬や唇の内側を刺激して痛むことはなく、強い痛みや頻繁な口内炎を起こしにくいことが特徴です。交換後の数日は少し痛みを意識する方もいますが、多くの場合は無理なく過ごしていただけます。
Q
食事中は痛くないの?
A
インビザライン・インビザラインGOは食事の際にマウスピースを外すことができるので、ワイヤー矯正のように装置に食べ物が引っかかって不快な思いをすることはほとんどありません。外して食事をとり、食後に歯磨きをしてから再度装着することで、清潔な状態を保ちやすく虫歯や歯周病のリスクを抑えられます。
Q
その他、インビザラインのデメリットや注意点は?
A
インビザラインは透明で目立ちにくい反面、1日20時間以上の装着や食事時の取り外しなど自己管理が必須です。装着初期は話しにくさを感じる場合や、紛失・破損のリスク、飲食物の制限もあります。また、費用は高額な傾向があり、複雑な症例には適用できないケースもあります。治療前にこれらを理解いただくことが重要です。
*
* *
矯正無料相談・WEB予約(24時間受付中)

※矯正無料相談は「ご相談(カウンセリング)」が対象です。必要に応じてレントゲン撮影・口腔内検査等を実施する場合、保険診療として自己負担が発生します。